Полезная информация

Брекеты для взрослых – один из самых недооценённых инструментов сохранения зубов. Большинство людей...

Многие взрослые пациенты годами откладывают визит к ортодонту. Желание поставить брекеты, регулярно...

Исправление прикуса брекетами – это не просто выравнивание зубов в ряд ради красивого селфи. Э...

Вы когда-нибудь откладывали визит к гигиенисту только потому, что одна мысль о жужжащих инстру...

Удаление пигментированного налета и возвращение зубам естественного цвета – главная причина, п...

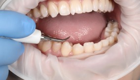
Удаление твердых зубных отложений ультразвуком занимает центральное место в современных проток...

Микробная биопленка – главный враг здоровья полости рта. Это организованное сообщество бактери...

Многие пациенты по привычке воспринимают визит к гигиенисту как сугубо эстетическую процедуру...

Профессиональную чистку зубов нужно делать раз в 6 месяцев. Это стандартный ответ, который вы...

Распространенное заблуждение звучит так: «Я тщательно чищу зубы дважды в день дорого...

Зачем платить за профессиональную чистку зубов, если вы дважды в день используете хоро...

Каждый день мы чистим зубы, используем зубную нить и ополаскиватели. Но со временем все равно...

Большинство людей знают, что зубы нужно чистить как минимум 2 раза в день, а в идеальном случае посл...

Некоторые родители ошибочно полагают, что молочные зубы их детей не требуют особого внимания, поскол...

Бруксизм у детей — непроизвольное скрежетание зубами во время ночного сна, обусловленное спазмом жев...

Самое лучшее решение при любом виде зубной боли – скорее обратиться к стоматологу. Только врач может...

Многие думают, что если на зуб установлена коронка, то она больше не подвержена стоматологическим за...

Содержание Введение Причины отторжения зубных имплантов Призн...

Абсцесс зуба - заболевание, сопровождающееся острыми гнойными воспалениями. По сути это реакция защи...

По статистике ВОЗ, около 85% населения планеты страдают от легкой степени пародонтита, а агрессивные...

Аллергический стоматит значительно снижает качество жизни взрослых и маленьких пациентов, ведь даже...

Афтозный стоматит у детей — распространенное явление, поскольку в возрасте до 5–7 лет естественные з...

Многие люди по ряду причин боятся посещать кабинет стоматолога. Они доводят проблемы до такой степен...

В любой области медицины диагностика имеет решающее значение для назначения лечения. Правильно диагн...

Стоит понимать, что дефектный прикус может повлечь за собой ряд проблем не только в личной жизни и к...

Коронка — ортопедическая конструкция, которая покрывает всю видимую часть зуба. Она предназначена дл...

Тщательная гигиена полости рта важна в любом возрасте. Особенно это касается пациентов, прошедших им...

Имплантаты и мосты применяются для восстановления жевательной функции зубного ряда и устранения визу...

Утрата зубов давно перестала быть проблемой – современная стоматология предлагает большой выбор мето...

Восстановление зубов на имплантатах – самый востребованный сегодня вариант протезирования. Несмотря...

Подготовка к имплантации зубов – комплекс мероприятий, способствующих подготовке к операции и врача,...

Некоторые люди с недоверием относятся к процедуре восстановления белизны зубов, считая, что она може...

Зубная нить – это один из основных инструментов для поддержания гигиены ротовой полости. И, хотя она...

Имплантация зубов – серьезная хирургическая операция, травмирующая мягкие ткани. Да, в современной с...

В период беременности услуги стоматологов могут быть даже более востребованы, чем обычно. Дело в том...

Зубной камень – это известковые отложения, имеющие темно-коричневый оттенок и располагающиеся, как п...

Эта страшная инструкцияМногие из нас, покупая в аптеке то или иное лекарство, мы интересуемся об име...

Некоторые стоматологические заболевания никак себя не проявляют на ранних стадиях, а обнаруживаются...

Ортодонтия: что это за наукаУ некоторых людей имеются дефекты развития зубного ряда и челюстно-лицев...

Первые зубы у человека начинают прорезываться до года, когда молоко еще служит основной пищей. Именн...

Ни для кого не секрет, что большинство людей избегают визитов к стоматологу, только лишь из-за возмо...

Аномалии развития зубов — частое явление, но среди всех дефектов макродентия занимает не первое мест...

Бутылочный кариес — заболевание у детей раннего возраста (от 1 года до 3 лет), возникающее в результ...
Проконсультируем вас по условиям и стоимости лечения, подберём врача и запишем вас на приём.Бесплатная консультация займёт всего 20–40 минут
Отзывы о стоматологии и репутация





